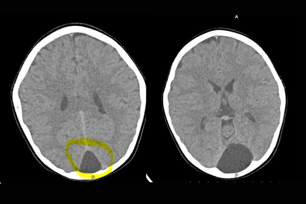
Trẻ 66 tháng tuổi đau nửa đầu đột ngột, nôn ói – Phát hiện nang màng nhện hố sọ sau qua chụp CT sọ não
Một trường hợp vừa được tiếp nhận tại Bệnh viện Đa khoa Medic Hải Tiến
Bác sĩ CKI Trịnh Văn Nghĩa: 24 năm tận tâm vì sức khỏe người dân Yên Định
Có những ngày ở Phòng khám Đa khoa MEDIC Yên Định, khi hành lang còn
Bệnh virus nipah: Những điều cần biết để phòng tránh và bảo vệ sức khỏe
Bệnh virus Nipah có vẻ như là một cái tên ít người biết đến, nhưng với
Vì sao mùa lạnh dễ gây đột quỵ? Dấu hiệu nhận biết và cách phòng ngừa bạn cần biết
Đột quỵ là một trong những nguyên nhân hàng đầu gây tử vong và tàn
Vì sao ung thư gan khó phát hiện sớm? Cảnh báo âm thầm từ “kẻ giết người thầm lặng”
Ung thư gan là một trong những bệnh ung thư nguy hiểm hàng đầu hiện
Không phải ai cũng có phác đồ tiêm giống nhau: Vắc xin HPV tiêm bao nhiêu mũi mới đúng?
Vắc xin HPV ngày càng được nhiều người quan tâm nhờ vai trò quan trọng
Gia tăng ca sốt xuất huyết và tay chân miệng chuyển nặng: Cảnh báo mới nhất từ Bộ Y tế
Trong những năm gần đây, sốt xuất huyết và tay chân miệng tiếp tục là
Bệnh viện Đa khoa Medic Hải Tiến khám sức khỏe miễn phí cho gia đình chính sách, người có công với cách mạng tại xã Hoằng Thanh
Trong hành trình phát triển bền vững gắn liền với trách nhiệm xã hội, Hệ
Những điều cần lưu ý khi điều trị nám da
Trung bình phụ nữ Việt thường bị nám da trước 30 tuổi và có rất
Lưu ý khi dùng kem dưỡng ẩm có SPF
Kem dưỡng ẩm có thành phần SPF chống nắng đang là sự lựa chọn hàng
